Home
People
Research
Global Health
Computer Vision
Sustainability
Publications
Home
People
Research
Global Health
Computer Vision
Sustainability
Publications
Global Health
Home
Research Projects
Global Health
Projects
Robotic-Assisted Surgery
Drug Discovery
Spatial Transcriptomics
Lung Cancer Diagnosis
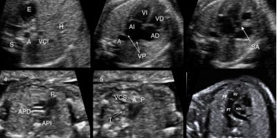
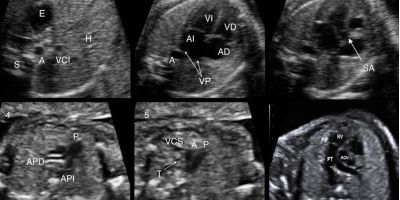
Pediatric Heart Disease Diagnosis
Biomedical Segmentation
Past projects
DROSOPHILA EMBRYOGENESIS ATLAS
PROTEIN DETECTION AND RECONSTRUCTION
AUTOMATED TUBERCULOSIS DIAGNOSIS
TOTÆ LACRIMÆ
Smart Pooling
Bone Age Assessment