ANALYSIS OF PHOW REPRESENTATIONS FOR ALZHEIMER DISEASE CLASSIFICATION ON BRAIN STRUCTURAL MRI

R. MENDOZA, F. GONZALEZ, P. ARBELAEZ, J. PUENTES AND M. HERNANDEZ

ISBI, 2016

Abstract

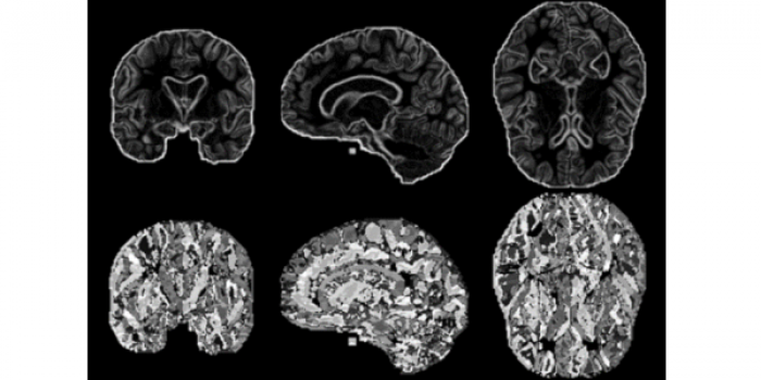
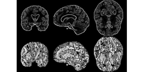
Alzheimer’s Disease (AD) is a neurodegenerative pathology characterized by progressive atrophy of brain and impairment of memory and cognitive functions. Physicians frequently use structural brain imaging to identify abnormal patterns in brain structure that may indicate probable AD. Thus, shape information is central for brain imaging analysis and AD diagnosis. This paper examines how three variants of Pyramid Histograms Of visual Words (PHOW) descriptions, a data-driven approach, handle the complex task of AD classification. 87 pathological cases and 87 controls from OASIS dataset were used to study the impact of shape and surface information. Best performance was 89.3%, a current mark for AD classification, and an increase (27.1%) in contrast to a naive approach. Additionally, controls were better classified than demented subjects (94.5% and 84.0%, respectively), while young, early-onset AD subjects, and elderly controls were the most difficult. Finally, dictionary word analysis revealed discriminative surface features. Also, local patterns induced by global word distribution appear to be more significant for classification than word location.

Universidad de los Andes | Monitored by Mineducación
Recognition as University: Decree 1297 of May 30th, 1964.
Recognition as legal entity: Resolution 28 of February 23, 1949 Minjusticia.

© Universidad de los Andes. All rights reserved.